Please wait a minute...
Toggle navigation
首页
关于本刊
期刊介绍
期刊订阅
编委会
投稿须知
期刊浏览
网络首发
当期目录
过刊浏览
阅读排行
下载排行
虚拟专刊
出版伦理
OA政策
联系我们
English
作者中心
专家审稿
编委审稿
编辑办公
过刊浏览
2025年 第37卷 第2期 刊出日期:2025-02-28
上一期
研究论文
茯苓多糖对糖尿病小鼠糖脂代谢和氧化应激紊乱的影响
张淑静, 宁真真
2025, 37(2): 195-203.
doi:
10.16333/j.1001-6880.2025.2.001
摘要
(
954
)
PDF
(1464KB) (
40
)
肉苁蓉苯乙醇苷抗小鼠抑郁作用及机制研究
郝 梅, 李红艳
2025, 37(2): 204-214.
doi:
10.16333/j.1001-6880.2025.2.002
摘要
(
261
)
PDF
(2434KB) (
17
)
基于PI3K/AKT信号通路探讨清肺消积颗粒对Lewis肺癌小鼠肿瘤细胞凋亡的影响
张格松, 程建通, 张 灏, 张 蕊, 沈晓倩, 赵艺涵, 蒋士卿
2025, 37(2): 215-222.
doi:
10.16333/j.1001-6880.2025.2.003
摘要
(
331
)
PDF
(1333KB) (
25
)
基于药效学和代谢组学研究当归补血汤不同提取物对溶血性贫血大鼠的作用
樊 秦, 王雅琼, 赵彩霞, 张志瑞, 张宏美, 宋 冰, 阎教科, 戚欢阳
2025, 37(2): 223-232.
doi:
10.16333/j.1001-6880.2025.2.004
摘要
(
273
)
PDF
(1624KB) (
12
)
基于HPLC指纹图谱和EBI技术优化天麻干燥条件及8个多酚含量的分析研究
聂晓兵, 李春晓, 刘小玲, 何 敏, 范宝磊
2025, 37(2): 233-241.
doi:
10.16333/j.1001-6880.2025.2.005
摘要
(
227
)
PDF
(1521KB) (
13
)
核桃壳多糖提取、纯化及其衍生物抗氧化活性
王文斌, 周石洋, 蒋文明
2025, 37(2): 242-251.
doi:
10.16333/j.1001-6880.2025.2.006
摘要
(
308
)
PDF
(1866KB) (
22
)
研究简报
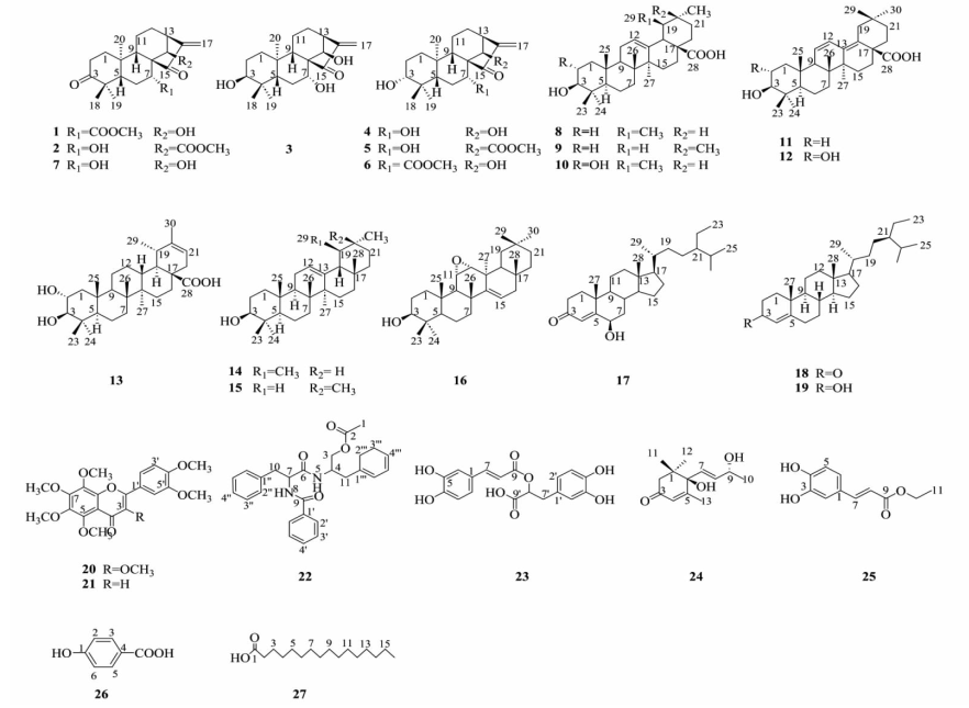
川牛膝化学成分及其舒张子宫平滑肌活性研究
文 敏, 赵 芮, 孙美记, 彭 成, 刘 娟, 熊 亮
2025, 37(2): 252-261.
doi:
10.16333/j.1001-6880.2025.2.007
摘要
(
335
)
PDF
(1790KB) (
16
)
王枣子的化学成分及抗肿瘤活性研究
魏美琪, 陈 莲, 张卫青, 孙 茂, 王佳骥, 詹建平, 王传令, 晏 晨
2025, 37(2): 262-270.
doi:
10.16333/j.1001-6880.2025.2.008
摘要
(
448
)
PDF
(686KB) (
17
)
牛角瓜强心苷成分的抗肿瘤活性研究
宫 正, 王 磊, 樊成武, 靳云奥, 沈 彤
2025, 37(2): 271-277.
doi:
10.16333/j.1001-6880.2025.2.009
摘要
(
382
)
PDF
(811KB) (
13
)
海洋放线菌
Streptomyces
sp.11695次生代谢产物的研究
颜祯阳, 李 晓, 王远强, 罗明和
2025, 37(2): 278-282.
doi:
10.16333/j.1001-6880.2025.2.010
摘要
(
269
)
PDF
(477KB) (
18
)
开发研究
菊苣根多糖酶法辅助双水相提取工艺优化及其降脂活性研究
周 敏, 韩 青, 李彩凤
2025, 37(2): 283-292.
doi:
10.16333/j.1001-6880.2025.2.011
摘要
(
324
)
PDF
(2284KB) (
39
)
不同产地平贝母生物碱、多糖含量与生态因子相关性及体外抗氧化活性研究
王馨翊, 乔永飞, 温锦丽, 李亚丽
2025, 37(2): 293-303.
doi:
10.16333/j.1001-6880.2025.2.012
摘要
(
263
)
PDF
(1580KB) (
14
)
基于RGS14/MEK/ERK信号通路研究石菖蒲和
α
-细辛醚促进疲劳运动大鼠学习记忆的作用机制
廖忠鑫, 谢石凤, 朱梅菊, 王文莉
2025, 37(2): 304-310.
doi:
10.16333/j.1001-6880.2025.2.013
摘要
(
173
)
PDF
(922KB) (
16
)
头花蓼不同入药部位黄酮类成分治疗淋球菌感染的分子机制研究
杨 杰, 张 瑜, 郭步伐, 彭启伦, 叶 茂, 易 伟
2025, 37(2): 311-327.
doi:
10.16333/j.1001-6880.2025.2.014
摘要
(
296
)
PDF
(6235KB) (
9
)
不同干燥方式对趁鲜切制西洋参饮片质量的影响
王 昌, 刘晓雅, 张 鹏, 王亚萍, 赵大庆, 刘 莉, 齐 滨
2025, 37(2): 328-336.
doi:
10.16333/j.1001-6880.2025.2.015
摘要
(
310
)
PDF
(1294KB) (
11
)
数据研究
基于网络药理学、分子对接及实验验证探讨芍药苷治疗非酒精性脂肪肝病抗炎作用机制
刘湘花, 李 姗, 赵方言, 周志文, 闵远骞
2025, 37(2): 337-345.
doi:
10.16333/j.1001-6880.2025.2.016
摘要
(
568
)
PDF
(2215KB) (
32
)
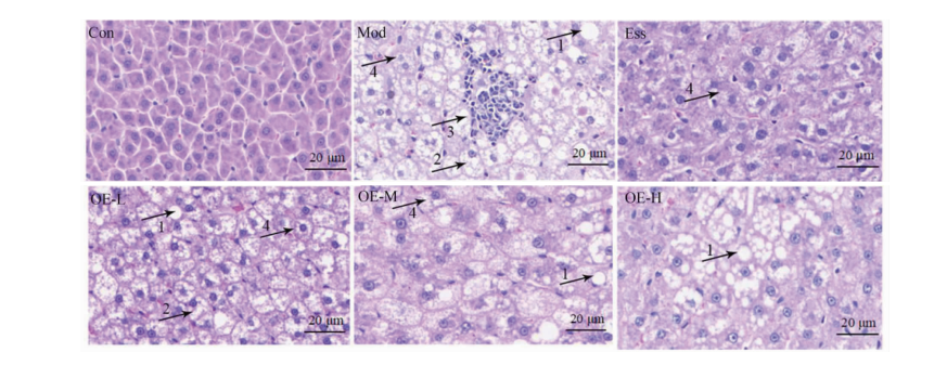
基于网络药理学及实验验证探究二月兰籽水提物对非酒精性脂肪性肝炎大鼠的治疗作用和机制
苏 芮, 裴海鸾, 田 骄, 王 晶, 王志斌
2025, 37(2): 346-360.
doi:
10.16333/j.1001-6880.2025.2.017
摘要
(
300
)
PDF
(3227KB) (
12
)
综述
蓍属植物的化学成分及药理活性研究进展
王真真, 马晓莉, 南泽东, 江志波
2025, 37(2): 361-374.
doi:
10.16333/j.1001-6880.2025.2.018
摘要
(
410
)
PDF
(1712KB) (
13
)
弯孢属真菌次级代谢产物及其生物活性研究进展
罗利利, 黎琬琳, 杜旭泓, 陈雅玲
2025, 37(2): 375-391.
doi:
10.16333/j.1001-6880.2025.2.019
摘要
(
306
)
PDF
(2978KB) (
14
)