关闭×
Toggle navigation
Home
About Journal
Journal Profile
Subscription
Editorial Board
Instruction
Journal
Just Accepted
Current Issue
Archive
Most Read
Most Download
Most Cited
Publication Ethics
OA policy
Contact Us
中文
Author Center
Peer Review
Editor Work
Office Work
Current Issue
Previous Issue
Most Read
Most Download
Most Cited
28 January 2026, Volume 38 Issue 1
Previous Issue
Spectrum-effect relationship between HPLC fingerprint and
in vitro
antioxidant activity of Notoginseng Radix et Rhizoma and its processed products
TANG Lin, LU Ai-juan, HU Chao, LI Hai-ying, GAO Yuan-hang, LI Hao, YANG Lei
2026, 38(1): 1-12.
doi:
10.16333/j.1001-6880.2026.1.001
Abstract
(
20
)
PDF
(2094KB) (
0
)
Serum metabolomics of wine-processed Angelicae Sinensis Radix in enhancing blood-activating and stasis-resolving effects
FU Xiao-yan, GAO Guang-miao, YANG Xiu-juan, DENG Yi, ZAHNG Jin-bao, GONG Zi-han
2026, 38(1): 13-24.
doi:
10.16333/j.1001-6880.2026.1.002
Abstract
(
6
)
PDF
(2925KB) (
0
)
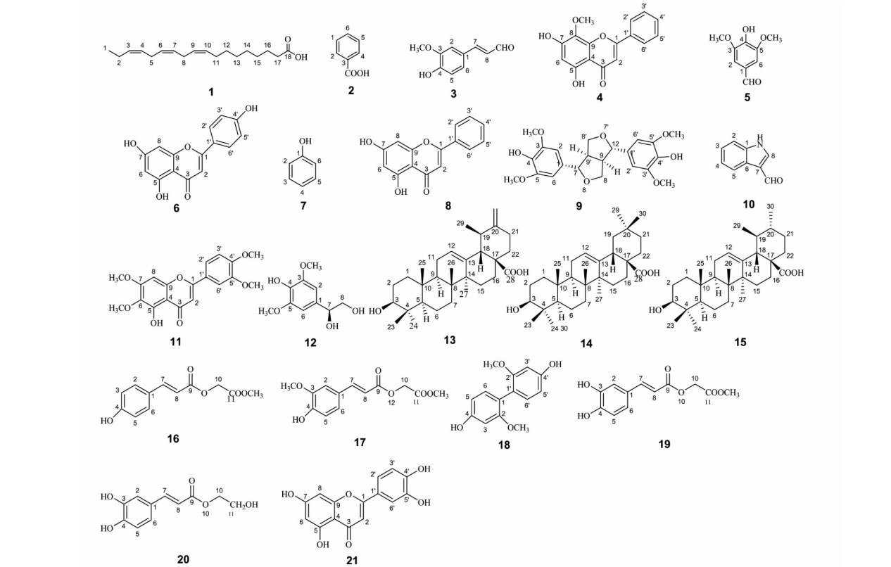
Chemical constituents from ethanol extract of
Elaeagnus angustifolia
L. leaves in Xinjiang and their mechanism of melanogenesis inhibition
XU Guo-yan, FU Jian-hong, HU Yong-hua, WANG Jun, ABUDUWAILI Maidina, CUI Feng-zhen, AKBAR Aykamar, MA Chang-da
2026, 38(1): 25-36.
doi:
10.16333/j.1001-6880.2026.1.003
Abstract
(
5
)
PDF
(2317KB) (
0
)
Structural characterization and anti-inflammatory activity of neutral homogeneous polysaccharides from
Prinsepia utilis
oil meal
CHEN Zhong-yi, ZHU An-ming, YANG Xiu-xia, DUAN Han-yu, LIU Jun-xi, XIAO Feng-kun, QU Li-ping
2026, 38(1): 37-45.
doi:
10.16333/j.1001-6880.2026.1.004
Abstract
(
2
)
PDF
(1584KB) (
0
)
Mechanism of baicalein in reducing neuroinflammation in depressive mice through the TLR4/MyD88/NF-
κ
B signaling pathway
HE Qi-chen, JIN Li-qiang, JIA Yun-tao, ZHANG Qi
2026, 38(1): 46-53.
doi:
10.16333/j.1001-6880.2026.1.005
Abstract
(
11
)
PDF
(1394KB) (
0
)
Sinomenine inhibits glycolytic metabolism and suppresses inflammatory responses in rheumatoid arthritis rats via the AMPK/SIRT1 signaling pathway
ZHAO Jing-jing, ZHENG Fu-zeng
2026, 38(1): 54-60.
doi:
10.16333/j.1001-6880.2026.1.006
Abstract
(
4
)
PDF
(1399KB) (
0
)
Chemical constituents from Xanthoceras sorbifolia seed meal and their anti-inflammatory activity
CUI Wen-jin, LIANG Kai, LYU Jin-peng, ZHANG Guang-jie, LIU Shu-chen
2026, 38(1): 61-68.
doi:
10.16333/j.1001-6880.2026.1.007
Abstract
(
5
)
PDF
(967KB) (
0
)
Chemical constituents and anti-inflammatory activity of pine cone of
Pinus massoniana
Lamb.
SHEN Man, HE Zhi-long, JIANG Li, BAI Chun-mei, WANG Yang, LI Yue-ting, LI Yong-jun
2026, 38(1): 69-76.
doi:
10.16333/j.1001-6880.2026.1.008
Abstract
(
1
)
PDF
(1023KB) (
0
)
Diterpenoid alkaloids from
Aconitum pendulum
Busch and their anti-inflammatory activities
LIU Wen-bin, YI Guo-qi, SONG Yu-ying, ZHANG Yi, ZHANG Jing, LIU Yue
2026, 38(1): 77-85.
doi:
10.16333/j.1001-6880.2026.1.009
Abstract
(
1
)
PDF
(1252KB) (
0
)
Chemical constituents of
Tripterygium hypoglaucum
roots and their neuroprotective effects
QIAO Wen-hao, LIN Zhi-qi, DONG Jun-fang, HU Wei-yan, ZHANG Rong-ping, CHEN Xing-long
2026, 38(1): 86-93.
doi:
10.16333/j.1001-6880.2026.1.010
Abstract
(
3
)
PDF
(1362KB) (
0
)
Pharmacodynamics and preparation of aloperine thermosensitive gel for vaginal use
XU Jia-hui, LI Xin, HUO Jing-chen, CUI Chun-li, ZHANG Ying, MA Yu-lin, ZHANG Juan
2026, 38(1): 94-106.
doi:
10.16333/j.1001-6880.2026.1.011
Abstract
(
1
)
PDF
(2288KB) (
0
)
Optimization of extraction technology of essential oil from Tsaoko Fructus and its mechanism of promoting gastrointestinal peristalsis#br#
HU Meng-meng, HONG Yu-bing, ZHAO Rong, WU Yi, LEI Sheng-nan, XU Cai-ping, YU Ming-yue, CHE Yan-yun
2026, 38(1): 107-120.
doi:
10.16333/j.1001-6880.2026.1.012
Abstract
(
1
)
PDF
(3074KB) (
0
)
Process optimization of ultrasound-assisted deep eutectic solvents extraction of total flavonoids from Sophorae Flos Immaturus and its antioxidant activity
WANG Qian-fen, WU Jia-yin, SUN Ying-hui, XU Xiao-bo, ZHANG Yan-fang
2026, 38(1): 121-131.
doi:
10.16333/j.1001-6880.2026.1.013
Abstract
(
3
)
PDF
(2163KB) (
0
)
Protective effects of curcumin on palmitic acid-induced injury in C2C12 cell
TIAN Song-hao, ZHAO Peng-hao, SONG Cong-ying, DUAN-Jiaxin, YANG Pu-wan, HE Tian-quan
2026, 38(1): 132-140.
doi:
10.16333/j.1001-6880.2026.1.014
Abstract
(
3
)
PDF
(2105KB) (
0
)
Protective effect of pterostilbene on myocardial ischemia-reperfusion injury in mice based on the LKB1/AMPK signaling pathway
YANG Chao-xing, HUANG Jun, ZHONG Qi, WANG Cheng-gao
2026, 38(1): 141-148.
doi:
10.16333/j.1001-6880.2026.1.015
Abstract
(
3
)
PDF
(1535KB) (
0
)
Intervention effect of polysaccharides from Lycii Fructus on intestinal inflammation induced by confined space
LI Guo-qiang, WANG Qian-nan, QIAO Ya-jun, RONG Lin, ZHANG Xing-fang, HE Qi-feng, WEI Li-xin, BI Hong-tao
2026, 38(1): 149-157.
doi:
10.16333/j.1001-6880.2026.1.016
Abstract
(
2
)
PDF
(2516KB) (
0
)
Mechanism of isoquercitrin in the treatment of experimental rheumatoid arthritis based on network pharmacology and transcriptomics
WANG Yu-tong, WEN Yuan-yuan, ZHUANG You-yi, HU An-ran, SUN Hai-jian, HOU Bao, QIU Li-ying, CAI Wei-wei
2026, 38(1): 158-170.
doi:
10.16333/j.1001-6880.2026.1.017
Abstract
(
9
)
PDF
(3582KB) (
0
)
Mechanism of Angelicae Sinensis Radix in treating knee osteoarthritis based on network pharmacology and experimental verification
QI Wei, AN Wen-bo, CHEN Xin, MA Ping, ZHAO Tian-yu, LIU Jian-jun
2026, 38(1): 171-186.
doi:
10.16333/j.1001-6880.2026.1.018
Abstract
(
2
)
PDF
(4104KB) (
0
)
Mechanism of Chrysanthemi Indici Flos in ameliorating acetaminophen-induced liver injury in mice based on network pharmacology and experimental validation
HUANG Xun-hai, DING Zi-rui, XIA Zi-jie, ZHENG Si-si, YAO Xin-lu, FENG Tian-yan, XIANG Jin, DENG Gai-gai
2026, 38(1): 187-197.
doi:
10.16333/j.1001-6880.2026.1.019
Abstract
(
10
)
PDF
(2603KB) (
1
)
Research progress on traditional Chinese medicine in the treatment of gastric cancer by regulating autophagy
TIAN Si-si, DAI Yang-ying-qi, SU Ting, CHEN Yu
2026, 38(1): 198-207.
doi:
10.16333/j.1001-6880.2026.1.020
Abstract
(
2
)
PDF
(1383KB) (
0
)
Research progress on the regulatory mechanisms of the STAT3 signaling pathway in ulcerative colitis and intervention of traditional Chinese medicine
LI Huan, SONG Xu-hua, FAN Cong-ling, ZHANG Xiang-an
2026, 38(1): 208-223.
doi:
10.16333/j.1001-6880.2026.1.021
Abstract
(
6
)
PDF
(2421KB) (
0
)
A dataset of metabolites of
Polygonatum odoratum
from different regions and varieties
WEI Zi-yan, ZHANG Ze-li, YAN Yi-ming, PENG Cai-yun, WANG Wei, XIE Guo-zhen
2026, 38(1): 224-227.
doi:
10.16333/j.1001-6880.2026.1.022
Abstract
(
12
)
PDF
(653KB) (
0
)
Announcement
Research and development of natural products was included in DOAJ database
2022-03-25
Research and development of natural products was selected into the World Journal...
2021-08-23
Links
Chinese Academy of Science
Science China
Wanfang Data
CNKI database
Chinese Library Classification
Chinese Science Citation Database
Download
Guide for authors
Manuscript template
Reference style
Credit statement
Copyright Transfer Agreement