Loading...
Toggle navigation
Home
About Journal
Journal Profile
Subscription
Editorial Board
Instruction
Journal
Just Accepted
Current Issue
Archive
Most Read
Most Download
Most Cited
Publication Ethics
OA policy
Contact Us
中文
Author Center
Peer Review
Editor Work
Office Work
Table of Content
25 June 2025, Volume 37 Issue 6
Previous Issue
Optimization of ultrasound-assisted enzymatic extraction process for selenium-enriched dark tea polysaccharides and its antitumor activity
ZHOY Zhan-fu, TAN Qi-jun
2025, 37(6): 993-1003.
doi:
10.16333/j.1001-6880.2025.6.001
Abstract
(
289
)
PDF
(2786KB) (
16
)
Stevia rebaudiana
root polysaccharide alleviates obesity-related inflammation by regulating the PI3K/AKT/NF-
κ
B pathway
BAO Yu-long, LIU Chun-yan, CHE Hui, LYU Qiu-yue, ZHOU Xin-yue, SHAO Tai-li, WANG Guo-dong
2025, 37(6): 1004-1011.
doi:
10.16333/j.1001-6880.2025.6.002
Abstract
(
251
)
PDF
(1732KB) (
9
)
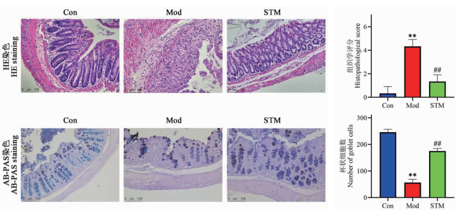
Effects of swertiamarin on gut microbiota and short-chain fatty acids in mice with ulcerative colitis
TANG Jia-feng, WANG Li-juan, YOU Yi-qing, SUN Hao-li, DANG Ting-ting, LI Xiao-shan, ZHANG Yan
2025, 37(6): 1012-1019.
doi:
10.16333/j.1001-6880.2025.6.003
Abstract
(
178
)
PDF
(1817KB) (
10
)
Effect of
Rheum palmatum
polysaccharide in accelerating skin wound healing by promoting epidermal cell proliferation and migration
YIN Xiu-wen, HAO Chun-yan, HE Wu-bin
2025, 37(6): 1020-1028.
doi:
10.16333/j.1001-6880.2025.6.004
Abstract
(
193
)
PDF
(1653KB) (
8
)
Antidepressant activity and mechanism of
Eucommia ulmoides
male flower water extract based on zebrafish model and molecular dynamics simulation
XIA Li-jie, DANG Jiao, ZHANG Shan-shan, ZHANG Xiu-jun, LIU Ke-chun, SHANG Xue-liang, JIN Meng
2025, 37(6): 1029-1039.
doi:
10.16333/j.1001-6880.2025.6.005
Abstract
(
228
)
PDF
(2981KB) (
7
)
Effects of Polygonati Odorati Rhizoma with milk processing on polysaccharide composition,immunomodulatory activity,and intestinal flora
Qingdaga, Xingan, Xurenqimuge, Aodengmuqier, Sarengaowa
2025, 37(6): 1040-1050.
doi:
10.16333/j.1001-6880.2025.6.006
Abstract
(
194
)
PDF
(2613KB) (
6
)
A new polyketide produced by
Nigrospora
sp.,an endophytic fungus from Panax notoginseng
CHEN Hao-yang, ZHANG Ji-yu, XU Meng-fei, FU Shuo-shuo, XU Hui-you, NI Lin
2025, 37(6): 1051-1054.
doi:
10.16333/j.1001-6880.2025.6.007
Abstract
(
169
)
PDF
(506KB) (
9
)
A new polyketide produced by
Nigrospora
sp.,an endophytic fungus from Panax notoginseng
(
Supporting Information
)
CHEN Hao-yang, ZHANG Ji-yu, XU Meng-fei, FU Shuo-shuo, XU Hui-you, NI Lin
2025, 37(6): 1052-1054.
Abstract
(
86
)
PDF
(750KB) (
4
)
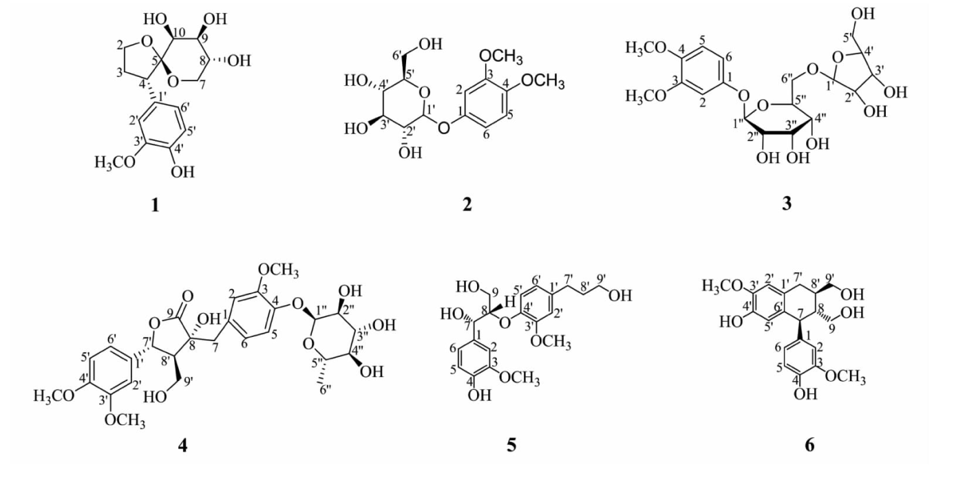
Phenolic components from
n
-butanol fraction of
Cephalotaxus hainanensis
and their anti-inflammatory activity
XUE Fei-xia, YAN Hao, MEI Wen-li, YANG Li, CAI Cai-hong, DAI Hao-fu, WANG Hao, WANG Li-sheng
2025, 37(6): 1055-1061.
doi:
10.16333/j.1001-6880.2025.6.008
Abstract
(
188
)
PDF
(778KB) (
8
)
Chemical constituents from the fruit galls of
Actinidium polygama
and their anti-inflammatory activity
XU Yi, CHEN Shou-ming, LI Chun-ying, WEI Kai-xin, XU Rong-ying, WAN Wen-wen, TANG Si-qi, LI Xiao-jun
2025, 37(6): 1062-1069.
doi:
10.16333/j.1001-6880.2025.6.009
Abstract
(
254
)
PDF
(922KB) (
8
)
Chemical constituents and antimalarial activity of
Oxytropis kansuensis
LEI Dan, GOU Liang, SUN He, MAO Jin, CHEN Qi-yin, XIAO Chao-jiang, JIANG Bei, ZHANG Yong-zeng
2025, 37(6): 1070-1076.
doi:
10.16333/j.1001-6880.2025.6.010
Abstract
(
142
)
PDF
(778KB) (
7
)
Chemical constituents and antimalarial activity of
Oxytropis kansuensis
(Supporting Information)
LEI Dan, GOU Liang, SUN He, MAO Jin, CHEN Qi-yin, XIAO Chao-jiang, JIANG Bei, ZHANG Yong-zeng
2025, 37(6): 1071-1076.
Abstract
(
76
)
PDF
(611KB) (
11
)
Secondary metabolites of endophytic fungus
Alternaria brassicae
from
Salvia miltiorrhiza
and its bioactivity
ZHANG Hong-yan, SUN Ran, WANG Si-rui, ZHANG Ling, SUN Yun-peng, YU Yang, LIU Jin-song, WANG Guo-kai
2025, 37(6): 1077-1084.
doi:
10.16333/j.1001-6880.2025.6.011
Abstract
(
185
)
PDF
(607KB) (
6
)
Study on the anti-hepatitis B virus effect and mechanism of Callicarpae Nudiflorae Folium extracts
in vitro
SU Xiao-yu , CHEN Yan , HOU Lin
2025, 37(6): 1085-1095.
doi:
10.16333/j.1001-6880.2025.6.012
Abstract
(
185
)
PDF
(2705KB) (
7
)
Antioxidant and hepatoprotective activities of different polar parts of Brassica rapa L.
in vitro
and
in vivo
LIANG Qin-lan, HU Meng-ying, CHEN Li, WANG Fan, WANG Xin-ru, YANG Xiao-jun, HASIMU Hamulati
2025, 37(6): 1096-1103.
doi:
10.16333/j.1001-6880.2025.6.013
Abstract
(
205
)
PDF
(1679KB) (
5
)
Quality evaluation of fried Viticis Fructus standard decoction based on fingerprint,chemometrics and multi-component content determination
DENG Cong-you, WANG Min-yu, XU Wen-hui, QIU Jia-jun, LIU Xuan-lin, CHEN Xiang-dong, HE Min-you
2025, 37(6): 1104-1113.
doi:
10.16333/j.1001-6880.2025.6.014
Abstract
(
179
)
PDF
(2004KB) (
4
)
Effect and mechanism of
Salvia miltiorrhiza-Carthamus tinctorius
drug pair against myocardial ischemia based on extracellular matrix remodeling
WANG Ning, XUE Zhi-peng, DENG Qing-qing, DONG Ze-yang, BAI Ji-qing, WANG Xiao-ping
2025, 37(6): 1114-1122.
doi:
10.16333/j.1001-6880.2025.6.015
Abstract
(
152
)
PDF
(1736KB) (
7
)
HS-SPME-GC-MS analysis of aroma components from different insect-damaged agarwood
LI Gui-qing, LIU Wei-qi, JIANG Yan, LI Kai-xiang, CHEN Wen, CHEN Ying-ying, TANG Xing-yue, YANG Su-hua
2025, 37(6): 1123-1137.
doi:
10.16333/j.1001-6880.2025.6.016
Abstract
(
182
)
PDF
(1302KB) (
3
)
Effects of different
Saccharomyces cerevisiae
on flavor components of
Lycopus lucidus
Turcz. var.
hirtus
Regel fermented wine
CHEN Jie, LIU Yue, WANG Dan, WANG Yu-han, REN Xue-yang, DU Hui-hui, MA Qiang, ZHOU Nong
2025, 37(6): 1138-1148.
doi:
10.16333/j.1001-6880.2025.6.017
Abstract
(
151
)
PDF
(1152KB) (
5
)
Mechanism of
Eucommia ulmoides
Oliv. in the "homotherapy for heteropathy" treatment of osteoporosis and Alzheimer′s disease based on network pharmacology and experimental verification
LIU Guo-liang, ZHAO Chen-qiong, CAI Guo-liang, WU Feng-yu, ZHANG Ying, SUN Jia-jie, LIU Xia, YAO Yuan
2025, 37(6): 1149-1159.
doi:
10.16333/j.1001-6880.2025.6.018
Abstract
(
197
)
PDF
(2298KB) (
6
)
Mechanism of Kudingcha in the treatment of non-alcoholic fatty liver disease based on network pharmacology and experimental validation
YUAN Hao-ming, CHEN Xin-ru, LIU Yu-song, WANG Xin-yu, LI Yan-xiang
2025, 37(6): 1160-1169.
doi:
10.16333/j.1001-6880.2025.6.019
Abstract
(
212
)
PDF
(2616KB) (
9
)
Research progress on the mechanisms of brain-derived neurotrophic factor signaling pathway in traditional Chinese medicine interventions for depression
HUANG Chen-jie, SHI Xue-li, FAN Ming-li, ZHANG Yu-mei
2025, 37(6): 1170-1185.
doi:
10.16333/j.1001-6880.2025.6.020
Abstract
(
175
)
PDF
(1907KB) (
4
)
Progress of the mechanisms of traditional Chinese medicine and its main components in treating aplastic anemia by regulating immunity and hematopoietic microenvironment
GUO Ming-xin, FANG Wen-tong, HU Zhi-qiang, MIN Lin
2025, 37(6): 1186-1193.
doi:
10.16333/j.1001-6880.2025.6.021
Abstract
(
167
)
PDF
(999KB) (
7
)