Loading...
Toggle navigation
Home
About Journal
Journal Profile
Subscription
Editorial Board
Instruction
Journal
Just Accepted
Current Issue
Archive
Most Read
Most Download
Most Cited
Publication Ethics
OA policy
Contact Us
中文
Author Center
Peer Review
Editor Work
Office Work
Table of Content
25 September 2025, Volume 37 Issue 9
Previous Issue
Next Issue
Comparative study on HPLC fingerprints and four constituents content of Atractylodis Macrocephalae Rhizoma before and after processing with rice-washed water
ZENG Zi-hang, PEI Chao-yang, WU Meng-mei, CAO Hui, ZHANG Ying, WU Meng-hua, MA Zhi-guo
2025, 37(9): 1595-1604.
doi:
10.16333/j.1001-6880.2025.9.001
Abstract
(
579
)
PDF
(2108KB) (
8
)
Chemical constituents from Lepidii Semen
LIU Tian-zi, ZHANG Qian, LU Mei-long, LAI Qiong, HAN Zhu-zhen, GU Li-hua, YANG Li, WANG Zheng-tao
2025, 37(9): 1605-1617.
doi:
10.16333/j.1001-6880.2025.9.002
Abstract
(
123
)
PDF
(1029KB) (
3
)
Intervention mechanism of astragaloside IV on diabetic kidney disease in rats based on the AMPK signaling pathway
ZHANG Wen-long, PENG Hong-yan, GUO Lu-qin, SHEN An-lu
2025, 37(9): 1618-1626.
doi:
10.16333/j.1001-6880.2025.9.003
Abstract
(
125
)
PDF
(2162KB) (
4
)
Pharmacokinetics study of
α
-linolenic acid in
Perilla
seed oil and its hepatoprotective effects
CHEN Xue-mei, TANG Xiao-shu, HU Bo, WANG Xiao-san, ZHANG Bai-xi
2025, 37(9): 1627-1637.
doi:
10.16333/j.1001-6880.2025.9.004
Abstract
(
141
)
PDF
(2042KB) (
6
)
Correlation between total flavonoids and total polyphenols content with antioxidant activities of different extracts of
Cynomorium songaricum
WANG Yu-mei, WANG Ying, LI Na, LI Cong-ying
2025, 37(9): 1638-1644.
doi:
10.16333/j.1001-6880.2025.9.005
Abstract
(
151
)
PDF
(748KB) (
6
)
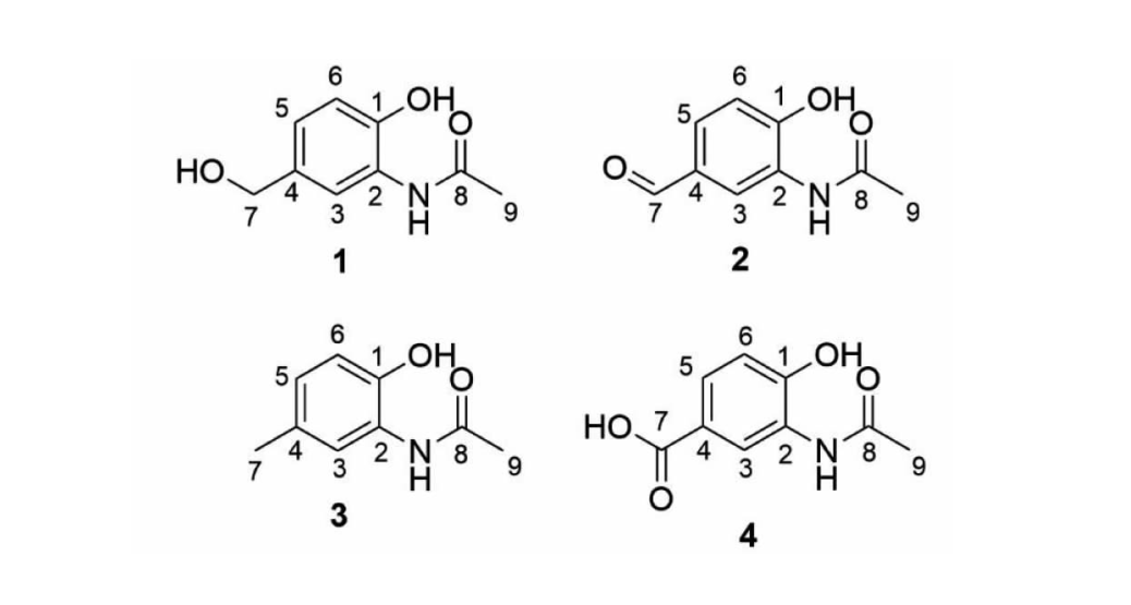
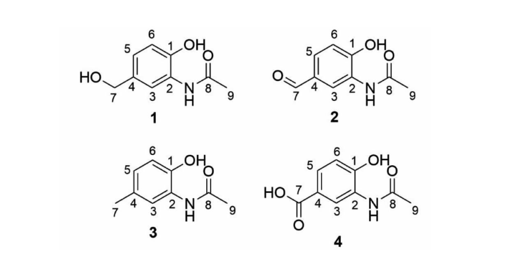
Chemical constituents from EtOAc extract of Angelicae Sinensis Radix and their anti-inflammatory activities
ZOU Jin-lian, ZHU Kui-lin, YIN Rui, DENG Mao-xin, WANG Hai-ming, CHEN Zhang-xian, LI Wei-jiao, DONG Fa-wu
2025, 37(9): 1645-1652.
doi:
10.16333/j.1001-6880.2025.9.006
Abstract
(
170
)
PDF
(658KB) (
11
)
Secondary metabolites of
Bacillus velezensis
JS8
JI Yun-xing, CHEN Cui-li, LIU Chao, WEI Bao-yue, SU Xin-hang, LU Shan, ZOU Yan-min
2025, 37(9): 1653-1657.
doi:
10.16333/j.1001-6880.2025.9.007
Abstract
(
151
)
PDF
(550KB) (
3
)
Secondary metabolites of
Bacillus velezensis
JS8
(
Supporting Information
)
JI Yun-xing, CHEN Cui-li, LIU Chao, WEI Bao-yue, SU Xin-hang, LU Shan, ZOU Yan-min
2025, 37(9): 1654-1657.
Abstract
(
49
)
PDF
(965KB) (
5
)
Effects of
in vitro
biomimetic digestion on components and biological activities of total phenolic acid extracts from raw and wine-processed Salviae Miltiorrhizae Radix et Rhizoma
WANG Li-ru, SUN Zi-wei, LI Wei, CUI Wei-liang, SUN Ai-jun, REN Ying-xu, LI Hui-fen
2025, 37(9): 1658-1670.
doi:
10.16333/j.1001-6880.2025.9.008
Abstract
(
75
)
PDF
(2306KB) (
2
)
Components analysis of the toxic and effective parts of the Mongolian medicine Euphorbiae Fischerianae Radix by UPLC-Q-TOF-MS/MS
XUE Lan, Baowuyunbilige, Ligerile, Litonglaga
2025, 37(9): 1671-1678.
doi:
10.16333/j.1001-6880.2025.9.009
Abstract
(
128
)
PDF
(913KB) (
4
)
Anti-inflammatory and antioxidant activities of
Thymus quinquecostatus
Celak essential oil
in vitro
HOU Bao-long, LI Mao-hao
2025, 37(9): 1679-1688.
doi:
10.16333/j.1001-6880.2025.9.010
Abstract
(
107
)
PDF
(1799KB) (
5
)
Study on the optimal method for extracting polyphenols from
Mesona chinensis
Benth and analysis of blood glucose regulation pathways
DU Yu-jie, WANG Yi-nong, GUO Ting, LUO Wei, LI Ping, LIANG Hai-di, LI Ya-nan, LI Jin-tao
2025, 37(9): 1689-1697.
doi:
10.16333/j.1001-6880.2025.9.011
Abstract
(
65
)
PDF
(1472KB) (
3
)
Protective effects and mechanisms of eriodictyol on brain of neonatal rats with hypoxic-ischemic encephalopathy
FENG Hai-yan, ZHANG Yue, WANG Yi, CHEN Zhuo-lin, CHEN Yu-fei, GAO Ge, ZHAO Yang, LIU Cui
2025, 37(9): 1698-1705.
doi:
10.16333/j.1001-6880.2025.9.012
Abstract
(
63
)
PDF
(1876KB) (
8
)
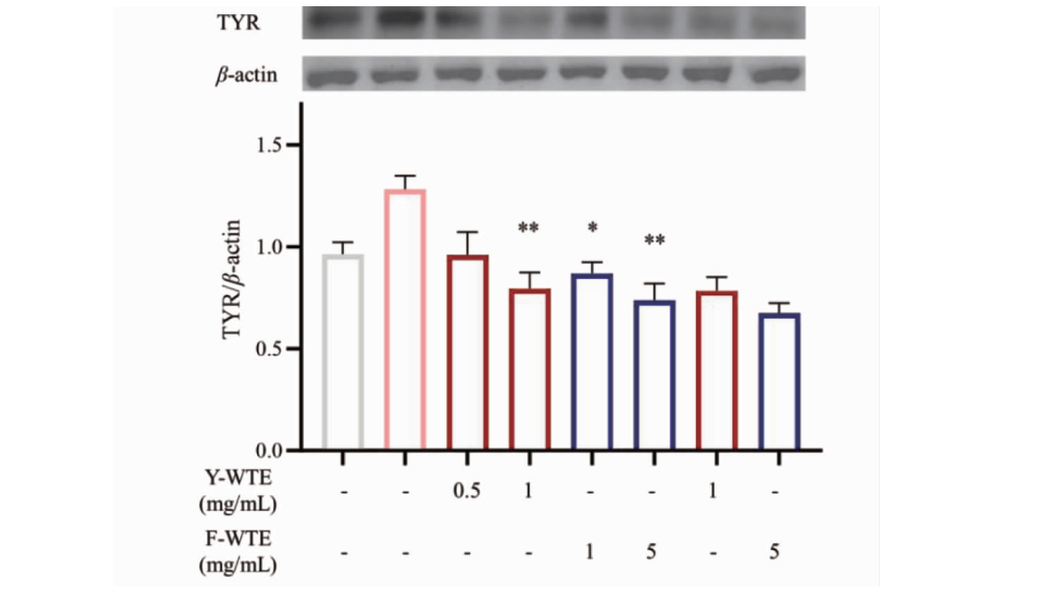
Antioxidant and whitening effects of white tea extracts
GUO Miao, LU Ji-hong, ZHANG Si-qi, YUAN Xin-yi, GU Jia, BIE Wei, YANG Ai-gang, ZHANG Yan
2025, 37(9): 1706-1714.
doi:
10.16333/j.1001-6880.2025.9.013
Abstract
(
268
)
PDF
(1873KB) (
6
)
Whitening and uric acid-lowering activities of
Chaenomeles speciosa
(Sweet) Nakai leaf extract
ZHENG Run-bo, RAN Ya-lan, PENG Shi-qin, LUO Kai, HE Mei-jun
2025, 37(9): 1715-1723.
doi:
10.16333/j.1001-6880.2025.9.014
Abstract
(
91
)
PDF
(1092KB) (
3
)
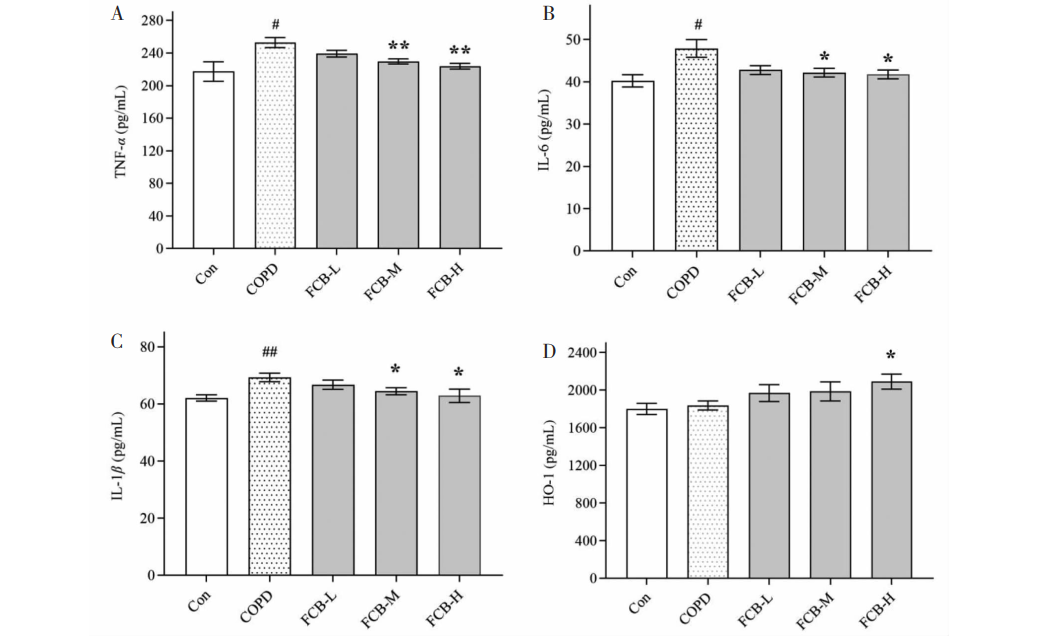
Effect of Fritillariae Cirrhosae Bulbus extract on inflammation and oxidative stress in chronic obstructive pulmonary disease rats
LIU Si-mei, ZHOU Ting, WANG Shu, CHEN Yi, YE Ben-gui
2025, 37(9): 1724-1732.
doi:
10.16333/j.1001-6880.2025.9.015
Abstract
(
74
)
PDF
(1811KB) (
5
)
Gastroprokinetic effects of water extract and its different extract fractions from
Artemisia rupestris
L.
KUERBAN Maidina, AIBAI Silafu, HASIMU Hamulati, WANG Pei-pei, ZHOU Wen-wen
2025, 37(9): 1733-1741.
doi:
10.16333/j.1001-6880.2025.9.016
Abstract
(
91
)
PDF
(1222KB) (
4
)
Effect of Rhodiolae Crenulatae Radix et Rhizoma-Panacis Quinquefolii Radix-Ganoderma-grape seed compound in alleviating ulcerative colitis based on network pharmacology and experimental validation
LI Yue-hai, GUO Ya-juan, SU Dun, XIE Guo, LIU Wen-li, ZHAN Ruo-ting
2025, 37(9): 1742-1753.
doi:
10.16333/j.1001-6880.2025.9.017
Abstract
(
93
)
PDF
(3472KB) (
5
)
Mechanism of rhein in the treatment of liver cancer based on network pharmacology,molecular docking and experimental verification
MENG Fan-ying, LI Qian, CHEN Jun-yi, ZHANG Qian-ying, DENG Zhe, DAI Jing-jing, TIAN Xue-fei, ZHANG Xue
2025, 37(9): 1754-1764.
doi:
10.16333/j.1001-6880.2025.9.018
Abstract
(
164
)
PDF
(3426KB) (
18
)
Historical evolution and modern research progress on “homologous and heterogeneous effect” of Pinelliae Rhizoma
ZHOU Shi-huan, LE Yi, HE Fu-yuan, ZHOU Jin
2025, 37(9): 1765-1774.
doi:
10.16333/j.1001-6880.2025.9.019
Abstract
(
246
)
PDF
(1370KB) (
7
)
Research progress on the myocardium protective mechanisms of
Ganoderma lucidum
polysaccharides
ZHANG Shang-bo, LIU Yong-chao, QI Hong-wei, KONG Fan-li
2025, 37(9): 1775-1783.
doi:
10.16333/j.1001-6880.2025.9.020
Abstract
(
128
)
PDF
(1063KB) (
7
)