Loading...
Toggle navigation
Home
About Journal
Journal Profile
Subscription
Editorial Board
Instruction
Journal
Just Accepted
Current Issue
Archive
Most Read
Most Download
Most Cited
Publication Ethics
OA policy
Contact Us
中文
Author Center
Peer Review
Editor Work
Office Work
Table of Content
31 March 2026, Volume 38 Issue 3
Previous Issue
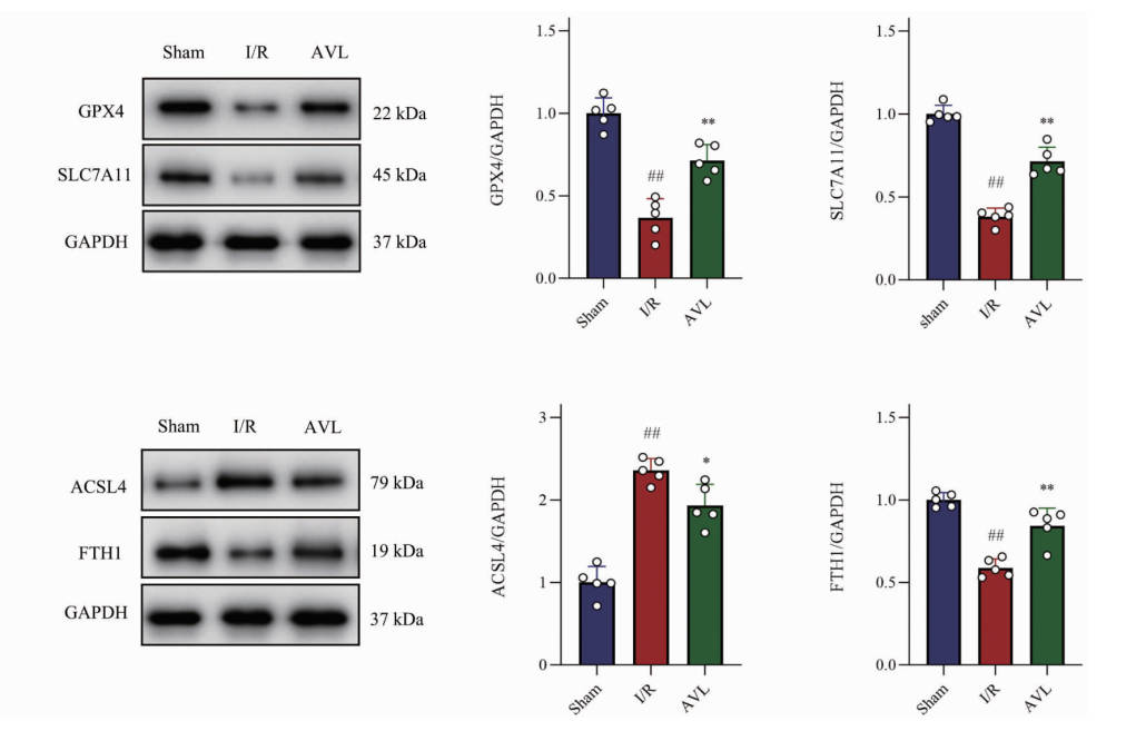
Avicularin inhibits myocardial ischemia-reperfusion injury by regulating HIF-1
α
/SLC7A11/GPX4 pathway-mediated ferroptosis
YIN Ren-lin, YE Zong-wei, SHEN Jun, CHEN Wei-xiang, JIANG Ting-bo
2026, 38(3): 459-467.
doi:
10.16333/j.1001-6880.2026.3.001
Abstract
(
125
)
PDF
(2387KB) (
10
)
Therapeutic effects of
Capparis spinosa
fruit in hyperuricemia mice based on the immune-inflammation-gut microbiota axis
LI Yang-jie, LIU Xin-rui, LIANG Liang, XIA Ling-ling, SHEN Xiao-yun, DING Cong
2026, 38(3): 468-477.
doi:
10.16333/j.1001-6880.2026.3.002
Abstract
(
44
)
PDF
(2288KB) (
1
)
Mechanism of sarsasapogenin in alleviating oxidative stress and ferroptosis in mouse hippocampal neurons injured by oxygen-glucose deprivation/reoxygenation
DING Lin, WANG Yan-ge, WANG Ying, WANG Shi-guang
2026, 38(3): 478-486.
doi:
10.16333/j.1001-6880.2026.3.003
Abstract
(
44
)
PDF
(1955KB) (
2
)
Effect and mechanism of Bozhou Platycodonis Radix extract on proliferation and metastasis of non-small cell lung cancer cells
JU Kang, GUO Xuan-xuan, LIU Xue-yi, XIE Hui-qun
2026, 38(3): 487-495.
doi:
10.16333/j.1001-6880.2026.3.004
Abstract
(
27
)
PDF
(2534KB) (
0
)
Chemical components and potential mechanisms of extracts from Polygonatum sibiricum in alleviating hyperuricemia based on UPLC-ESI-QTRAP-MS/MS and network pharmacology
GAO Xiang, HE Mei-jun, LUO Jian-qun, YAN Yu-xin, WANG Qing-fang, GUO Jie, LUO Kai, PENG Shi-qin
2026, 38(3): 496-508.
doi:
10.16333/j.1001-6880.2026.3.005
Abstract
(
59
)
PDF
(3276KB) (
6
)
Quality evaluation of Morindae Officinalis Radix and its processed products based on HPLC-ELSD fingerprint and multi-component quantification combined with chemometrics
ZHOU Lin, LIU Xiao-xia, XIE Wen-kai, DUAN Zhi-wen, FENG Yong-wei, LI Zhen-yu, ZHANG Jun, CHEN Xiang-dong
2026, 38(3): 509-520.
doi:
10.16333/j.1001-6880.2026.3.006
Abstract
(
47
)
PDF
(2400KB) (
1
)
Isolation,identification and antioxidant activity of a new flavonol tetraglycoside from
Lepidium latifolium
L.
WANG Xiu, CHEN Jing-hua, LI Qi-yu, WANG Miao-miao, YU Rui-tao
2026, 38(3): 521-528.
doi:
10.16333/j.1001-6880.2026.3.007
Abstract
(
51
)
PDF
(1399KB) (
4
)
Isolation,identification and antioxidant activity of a new flavonol tetraglycoside from
Lepidium latifolium
L.
(
Supporting Information
)
WANG Xiu, CHEN Jing-hua, LI Qi-yu, WANG Miao-miao, YU Rui-tao
2026, 38(3): 522-528.
Abstract
(
17
)
PDF
(140KB) (
1
)
Terpenoid components from the ethyl acetate extract of Sambucus adnata Wall. and their protective activity in vascular endothelial cells (Ⅰ)
REN Xuan-rong, LIU Ju, LIU Feng, GONG Shuai-shuai, KOU Jun-ping, SONG Shao-jiang, YU Mu-yuan, WANG Wen-jing
2026, 38(3): 529-537.
doi:
10.16333/j.1001-6880.2026.3.008
Abstract
(
33
)
PDF
(1339KB) (
0
)
Terpenoid components from the ethyl acetate extract of Sambucus adnata Wall. and their protective activity in vascular endothelial cells (Ⅰ) (Supporting Information)
REN Xuan-rong, LIU Ju, LIU Feng, GONG Shuai-shuai, KOU Jun-ping, SONG Shao-jiang, YU Mu-yuan, WANG Wen-jing
2026, 38(3): 530-537.
Abstract
(
15
)
PDF
(2297KB) (
0
)
Secondary metabolites of
Penicillium glabrum
SF-61290 and their bioactivities
ZHAO Shi-qin, LIU Fang, WANG Kai-mei, FANG Wei, LIU Man-li, GONG Yan, YANG Xi-liang, ZHANG Ya-ni
2026, 38(3): 538-545.
doi:
10.16333/j.1001-6880.2026.3.009
Abstract
(
27
)
PDF
(1064KB) (
1
)
Secondary metabolites of
Penicillium glabrum
SF-61290 and their bioactivities (Supporting Information)
ZHAO Shi-qin, LIU Fang, WANG Kai-mei, FANG Wei, LIU Man-li, GONG Yan, YANG Xi-liang, ZHANG Ya-ni
2026, 38(3): 539-545.
Abstract
(
13
)
PDF
(781KB) (
0
)
Effects of different cultivation patterns on the active ingredients of
Gastrodia elata
Bl.f.
glauca
S. Chow
GONG Ying, LU Xi-yu, WANG Yong-gui, SHEN Ce, LIU Jia-xuan, ZHOU Hua-song, SHI Rui, WANG Jun-min
2026, 38(3): 546-555.
doi:
10.16333/j.1001-6880.2026.3.010
Abstract
(
27
)
PDF
(2337KB) (
0
)
Optimization of microwave-assisted alcohol extraction process and
in vitro
antioxidant activity of flavonoids from Astragali Radix
ZHANG Fang, ZHAO Juan
2026, 38(3): 556-563.
doi:
10.16333/j.1001-6880.2026.3.011
Abstract
(
79
)
Effects of three compound essential oils on
Aedes albopictus
and the spatial mosquito-repellent activity of their blended microemulsions
TONG Ying, GAO Ping, JIANG Yu-hang, YAO Lei, ZHANG Nan
2026, 38(3): 564-572.
doi:
10.16333/j.1001-6880.2026.3.012
Abstract
(
29
)
PDF
(1485KB) (
2
)
Study on the regulation of biological behaviors in renal carcinoma Renca cells by lathyrol via hnRNP K modulation
TAI Lun-wei, SONG Sheng-you, MENG Ning-ning, JIANG Jun-ling, SHANG Guan-wei, WU Jing-qiang, ZHAO Jun-feng
2026, 38(3): 573-580.
doi:
10.16333/j.1001-6880.2026.3.013
Abstract
(
36
)
PDF
(2200KB) (
1
)
Procyanidin B2 alleviates lipid accumulation
in vivo
and
in vitro
via PI3K/PPAR
α
/Plin5-mediated lipolysis of lipid droplets
GUO Yi-ling, LI Yan-zhi, CAO Ying-qi, LI Yun-xia
2026, 38(3): 581-589.
doi:
10.16333/j.1001-6880.2026.3.014
Abstract
(
24
)
PDF
(1698KB) (
0
)
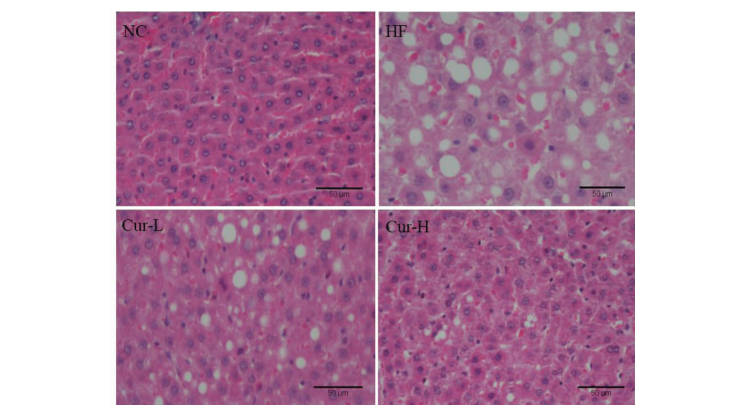
Effects and mechanisms of curcumin on hepatic steatosis in high-fat diet-fed rats
HOU Hong-tao, ZHANG Jian, WANG Ding-xin, CUI Zi-jin, WANG Cun-kai, BAI Yun
2026, 38(3): 590-595.
doi:
10.16333/j.1001-6880.2026.3.015
Abstract
(
27
)
PDF
(1112KB) (
1
)
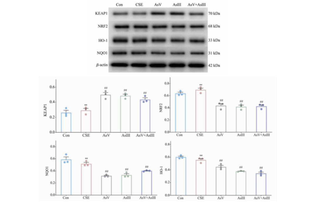
Effects of Cordyceps extract and inorganic arsenic on oxidative damage and apoptosis in human hepatic stellate cells LX-2
GAO Liang, MA Jin-mei, XIAO Yuan-can, WEI Li-xin
2026, 38(3): 596-604.
doi:
10.16333/j.1001-6880.2026.3.016
Abstract
(
27
)
PDF
(1979KB) (
0
)
Molecular mechanism of anti-inflammatory effects of Ephedrae Herba based on network pharmacology and experimental verification
LI Zhe, YAO Ye, WU Qiu-li, WANG Qun, QIAN Gui-yun, HAN Wei
2026, 38(3): 605-614.
doi:
10.16333/j.1001-6880.2026.3.017
Abstract
(
54
)
PDF
(2951KB) (
2
)
Mechanism of Sappan Lignum-Angelicae Pubescentis Radix drug pair in treating knee osteoarthritis based on network pharmacology and experimental validation
GAO Pan, YANG Wen-li, TANG Yu-yan, YANG Yu-min, LIAO Shan-shan, ZHOU Yu-jiao, QIN Xu-hua, CHEN Xiao-ying
2026, 38(3): 615-626.
doi:
10.16333/j.1001-6880.2026.3.018
Abstract
(
40
)
PDF
(3140KB) (
2
)
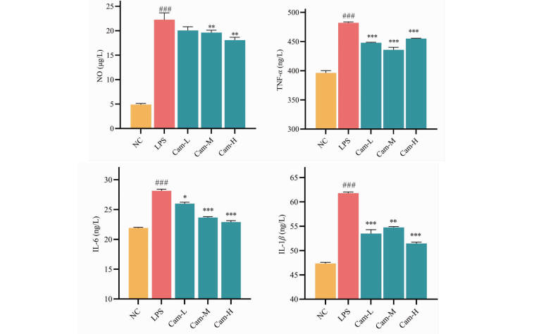
Therapeutic effects and mechanisms of cambogin in the treatment of ulcerative colitis based on network pharmacology and
in vitro
experimental validation
WU Yi, HUANG Zi-luo, LI Xue-shan, SHI Hui-ying, CHEN Guan-rong, FENG Jie, ZHONG Xiao-bin
2026, 38(3): 627-636.
doi:
10.16333/j.1001-6880.2026.3.019
Abstract
(
31
)
PDF
(2988KB) (
1
)
Mechanisms of Salviae Miltiorrhizae Radix et Rhizoma and Epimedii Folium against acne based on network pharmacology and experimental validation
MEI Zao-ju, YUN Jin-lei, WU Xin-lang, QU Li-ping
2026, 38(3): 637-647.
doi:
10.16333/j.1001-6880.2026.3.020
Abstract
(
30
)
PDF
(3047KB) (
2
)
Research progress on alkaloid chemical constituents of Corydalis yanhusuo and their extraction and separation,analysis and detection,and pharmacological activities
JIN Feng, TANG Zhi-shu, SONG Zhong-xing, JIAO Hong-hong
2026, 38(3): 648-661.
doi:
10.16333/j.1001-6880.2026.3.021
Abstract
(
64
)
PDF
(1830KB) (
2
)
Research progress of active secondary metabolites with exploitation potential from
Alternaria
sp.
QIN Fei-fei , ZHANG Jie
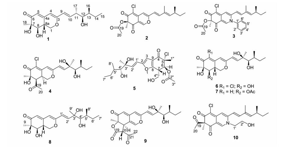
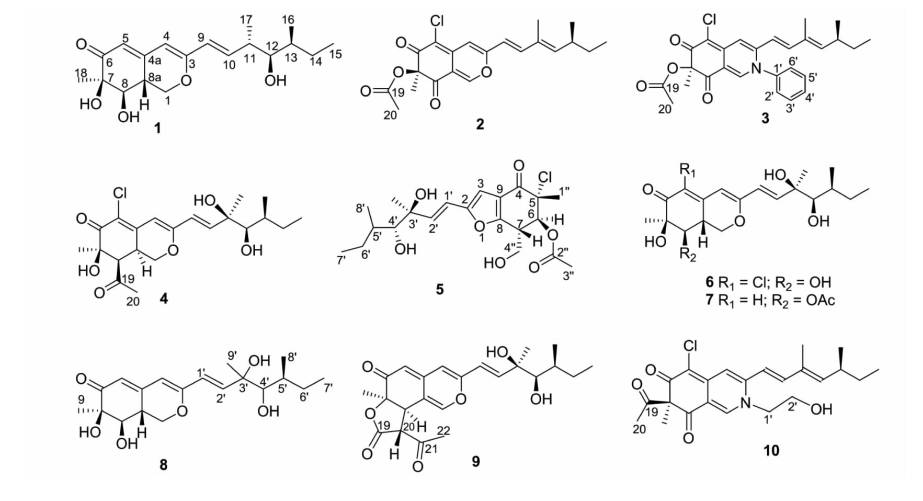
2026, 38(3): 662-678.
doi:
10.16333/j.1001-6880.2026.3.022
Abstract
(
37
)
PDF
(2480KB) (
0
)
Visualized analysis dataset of current status and trends of ginsenoside in cancer treatment research
ZHANG Chuan-guo, JIN Xiao-xiao, HAO Tong-jie, ZHENG Cong, HE Wen-qiang
2026, 38(3): 679-683.
doi:
10.16333/j.1001-6880.2026.3.023
Abstract
(
67
)
PDF
(1263KB) (
3
)